Le sexe oral provoque-t-il un cancer de la gorge?

Le sexe oral est un acte de préliminaires couramment effectué impliquant le baiser ou le léchage de la région génitale pour faire plaisir à un partenaire. Cependant, il est parfois indiqué que l’acte seul peut augmenter le risque de cancer de la gorge. Est-ce vraiment le cas?

Le papillomavirus humain (HPV) peut se propager lors de relations sexuelles orales, augmentant ainsi le risque de cancer. Aux États-Unis, le VPH est le virus sexuellement transmissible le plus courant.

La santé sexuelle présente une gamme de risques, mais s’inquiéter des problèmes de santé potentiels peut réduire l’intimité entre les partenaires et, finalement, la qualité de vie.

Bien que la prudence soit toujours de mise en matière de protection contre les problèmes de santé sexuelle, il est important de connaître les faits.

Cet article du MNT Knowledge Center discutera des liens entre le sexe oral, le VPH et le cancer de la gorge. Il expliquera également les principaux facteurs de risque de cancer de la gorge.

Faits rapides sur le sexe oral et le cancer de la gorge

  • Le sexe oral ne cause pas directement le cancer de la gorge, mais il peut propager le VPH.
  • Le VPH peut provoquer des changements précancéreux dans les cellules qui peuvent entraîner un cancer de la gorge plus tard.
  • On estime que 35% des cancers sont infectés par le VPH.
  • Le tabagisme et la consommation d’alcool augmentent encore le risque qu’une infection au VPH devienne cancéreuse.
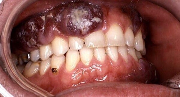
  • Les premiers stades du cancer de la bouche peuvent provoquer une décoloration des tissus buccaux, des plaies et des ulcères buccaux qui ne guérissent pas, ainsi qu’un gonflement ou des bosses dans la bouche.

HPV et cancer

Bien que le tabagisme et la consommation d’alcool soient les principaux facteurs de risque de cancer de la bouche, le virus HPV peut également être lié au cancer de la bouche.

On estime que 35% des cancers de la gorge sont infectés par le VPH.

Le VPH a été démontré comme l’un des principaux facteurs de risque de cancer de la bouche et de la gorge, connu sous le nom de cancer oropharyngé.

L’infection ne provoque pas directement de cancer buccal. Le virus déclenche des changements dans les cellules infectées. Le matériel génétique du virus devient une partie des cellules cancéreuses, ce qui provoque leur croissance. Cela peut conduire à la détection du VPH chez les personnes atteintes de cancers causés par d’autres facteurs.

Plus tard, ces cellules peuvent devenir cancéreuses. Cependant, peu de personnes infectées par le VPH développeront un cancer. En fait, le corps élimine environ 90% des infections au VPH en 2 ans.

Les sous-types de HPV trouvés dans la bouche sont presque tous transmis sexuellement, donc le sexe oral est une cause probable.

Les personnes qui fument sont moins susceptibles de pouvoir éliminer une infection au VPH, car le tabagisme endommage les cellules immunitaires de la peau. Ceux-ci aident normalement à protéger contre les dommages viraux.

Dans une étude publiée dans le New England Journal of Medicine en 2007, les chercheurs ont suggéré que les personnes qui ont des relations sexuelles orales avec au moins six partenaires différents ont un risque significativement plus élevé de développer un cancer de la gorge.

L’équipe a recruté 100 patients qui avaient récemment reçu un diagnostic de cancer de l’oropharynx, ainsi qu’un groupe témoin de 200 personnes en bonne santé.

Ils ont constaté que les personnes qui avaient au moins six partenaires sexuels oraux au cours de leur vie étaient 3,4 fois plus susceptibles d’avoir un cancer de la gorge. Ceux avec 26 partenaires sexuels vaginaux ou plus avaient 3,1 fois le risque de développer un cancer de la gorge.

La présence de HPV par voie orale qui pourrait causer le cancer a été trouvée dans une autre étude comme étant de 14,9% chez les hommes qui fumaient du tabac et avaient eu plus de cinq partenaires sexuels oraux.

Les hommes avec l’un de ces facteurs de risque ont vu un risque plus faible de cancer de la gorge à 7,3%. La prévalence était beaucoup plus faible pour les hommes (1,7%) et les femmes (0,7%) qui ont eu un partenaire sexuel oral pendant toute leur vie ou moins.

De nombreux médias ont mal représenté ces données, décrivant le sexe oral comme une cause directe de cancer.

Cependant, les conclusions tirées de la recherche à ce jour sont que le VPH peut être transmis par le sexe oral et qu’il est lié à des changements dans les cellules infectées.

Retour en haut